Гингивит – крайне неприятное заболевание, вызывающее сильный дискомфорт. Но если вовремя его выявить и начать лечение, то можно избежать более серьёзных последствий.

Воспаление десен
Что такое гингивит?
Гингивит – это воспаление дёсен, при котором зубодесневые соединения остаются целыми. Основная причина данного заболевания – это проникновение в повреждённые ткани патогенных микроорганизмов: грибков, бактерий, реже вирусов. Усугубляет ситуацию снижение иммунитета.
Формы
Симптомы и лечение гингвита будут зависеть от конкретной формы заболевания. В зависимости от особенностей развития и протекания, выделяют острый гингивит и хронический. Первая форма отличается классическим течением и явными признаками воспаления. Хронический же гингивит может протекать почти бессимптомно с незначительными обострениями, но он приводит к гиперплазии (разрастанию) десневой ткани и покрытию ею коронки зуба.
Исходя из изменений, затрагивающих десневые ткани, выделяют следующие формы гингивита:- Катаральный гингивит – наиболее распространённая и лёгкая форма, характеризующаяся незначительными изменениями в тканях дёсен.
- Гипертрофический гингивит. При такой форме воспалительный процесс провоцирует увеличение десневых сосочков в результате отёчности и фиброзных разрастаний.
- Атрофический гингивит характеризуется истончением десневых тканей, из-за чего зубные коронки могут частично обнажаться.
- Десквамативная форма. В данном случае десна по каким-то причинам теряет кератин, из-за чего её оболочки становятся уязвимыми и восприимчивыми даже к минимальным механическим повреждениям. Десневой эпителий активно слущивается, и в результате образуются эрозивные поверхности.
- Гнойный гингивит. При такой форме в тканях образуется гной, состоящий из патогенных микроорганизмов и их останков, распавшихся частичек тканей, а также лейкоцитов (эти белые кровяные клетки выполняют защитные функции). Экссудат может выделяться или образовывать гнойники.
- Язвенно-некротическая форма характеризуется распространением воспаления вглубь пародонта, что провоцирует его серьёзные патологические изменения. В результате образуются язвенные и эрозивные участки, а ткани могут частично отмирать. Особенностью данного вида является стремительное распространение процесса на окружающие участки: на щёки, язык. В данном случае симптомы и лечение гингивита у взрослых усложняются его острым и тяжёлым течением.

Катаральный
Проявления
Симптомы гингивита:
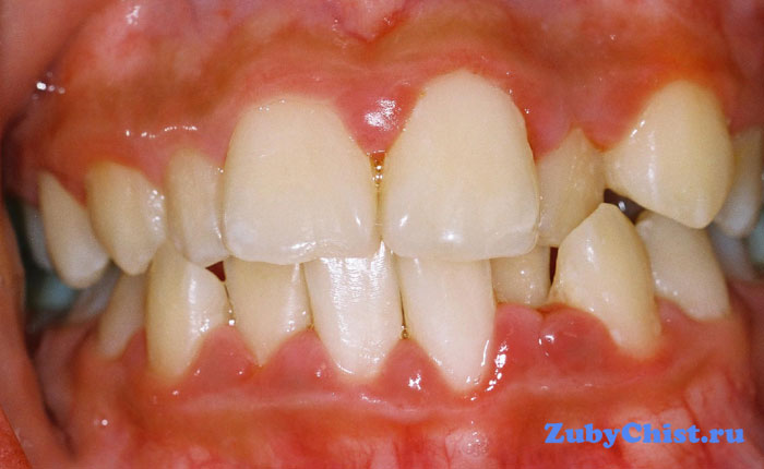
- При лёгком течении дёсны выглядят воспалёнными, что проявляется в виде покраснения, отёчности.
- Неприятные или болевые ощущения, дискомфорт: жжение, зуд, болезненность (особенно при надавливании или даже при прикасании). Порой кажется, что в процесс вовлечён практически весь рот, настолько силён дискомфорт. Но это связано с тем, что в дёснах очень много нервных окончаний, и при их раздражении болевые ощущения сильны.
- Гиперемия. Дёсны наполняются кровью, из-за чего приобретают насыщенный красный оттенок. Температура тела в данном участке повысится.
- Неприятный запах изо рта. Часто он бывает гнилостным, что объясняется размножением патогенных микроорганизмов, разложением и гниением продуктов их жизнедеятельности.
- Наличие гноя. Он может выделяться и беспрепятственно выходить из-под дёсен (чаще при надавливании) или же образовывать скопления под слизистой оболочкой. Эти гнойники выглядят как желтоватые бугорки, похожие на обычные прыщи.
- Возможно разрастание десневых тканей. Иногда они частично или даже полностью закрывают зубные коронки.
- Обильное слюнотечение. Такой симптом в данном случае будет неким защитным механизмом, с помощью которого организм попытается удалить из ротовой полости патогенных микроорганизмов и продукты их жизнедеятельности.
- Если воспаление распространится на близлежащие ткани, то подчелюстные лимфатические узлы воспалятся. Они увеличатся в размерах, станут твёрдыми и болезненными. Прощупать их можно под подбородком ближе к его основанию.
- Вероятна повышенная кровоточивость десён. Чаще всего она усиливается во время еды (особенно при употреблении грубой пищи), при чистке зубов.
- Один зуб или сразу несколько могут оказаться частично оголёнными, что связано с истончением десневой ткани или даже с её некрозом.
- Иногда появляются ранки, язвы, эрозии.
- В тяжёлых случаях возможно повышение температуры тела, причём иногда до высоких отметок.
При появлении даже единственного из перечисленных выше признаков следует обратиться к специалисту, так как чем раньше диагностировано заболевание, тем больше шансов безболезненно его вылечить, не прибегая к кардинальным мерам.
Своевременная диагностика
Диагностировать гингивит при осмотре ротовой полости сможет стоматолог. Он изучит жалобы пациента и возьмёт слюну и частички слизистых оболочек дёсен на анализ, чтобы определить возбудителя воспаления и назначить корректную терапию.
О лечении
Лечение гингивита зависит от причин, спровоцировавших развитие данного заболевания. При бактериальном гингивите врач назначит антибиотики. Чаще рекомендуется применение местных средств, но могут потребоваться инъекции или даже приём препаратов общего спектра действия (при тяжёлом течении).
Часто необходима профессиональная тщательная чистка ротовой полости. Стоматолог пригласит пациента в процедурный кабинет и обработает дёсны и зубы специальным антисептическим раствором, подаваемым под напором. Для устранения болевых ощущений назначаются нестероидные противовоспалительные средства, например, на основе ибупрофена.
Только обнаружив гингивит вовремя, можно избежать неприятных и серьёзных последствий.
