При серьезных патологиях прикуса может понадобиться не только ортодонтическое вмешательство, но и хирургическое. Затягивать с лечением не стоит. И дело не в том, что нарушения в развитии челюстного аппарата отрицательно сказываются на внешности человека. Многие отклонения со временем приводят к болезням десен и зубов. Поэтому чем раньше человек избавится от неровностей и зубных патологий, тем здоровее у него будут все органы ротовой полости.

Скученность зубов
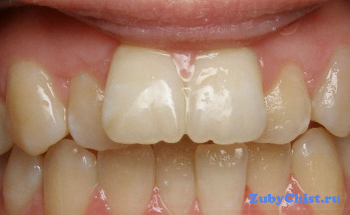
Серьезной аномалией формирования прикуса является скученное положение зубов. Если вовремя не исправить ситуацию, в будущем возможны серьезные проблемы с тканями пародонта. Исправить скученность зубов можно несколькими способами, некоторые из них требуют большого количества времени.
Что такое скученность зубов
Скученностью в стоматологии называют состояние, когда зубы растут плотно друг к другу, из-за отсутствия зазоров для их роста. Это возникает по четырем причинам:
- костная основа не достигла нужных размеров;
- на челюсти растут лишние зубы или некоторые из них превышают стандартные размеры (макродентия);
- остались некоторые молочные зубы, которые помешали росту постоянных;
- также происходит при смещении зубных групп (например, когда молочные удалены раньше положенного времени, а оставшиеся участки остались без протезирования).
Содействуют этому явлению и вредные привычки: сосание пальцев, ротовое дыхание. Иногда проблема возникает и во взрослом возрасте, когда появляются третьи моляры.
Как следствие отсутствия зазоров, зубы прорезываются за пределами дуги, нависают над другими, наслаиваются на них. Такая аномалия часто встречается. Согласно некоторым данным, у 60 процентов детей до 14 лет наблюдается частичная скученность. У некоторых детей аномалия охватывает верхнюю челюсть. Скученность зубов нижней челюсти также встречается регулярно. Реже – патология охватывает обе челюсти.
Возможные последствия
Неправильное формирование прикуса приводит к ряду осложнений. Во многих случаях оно сопровождается интенсивными кариозными поражениями.

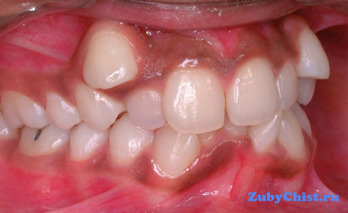
Неправильный прикус
- кариесу или пародонтиту;
- неприятному запаху изо рта;
- формированию травматического прикуса (когда на группы резцов или премоляров ложится жевательная нагрузка, что приводит к разрушению пародонта);
- появлению свищей, абсцессов;
- развитию периостита и лимфаденита.
Часть осложнений связана с тем, что при скученности тщательный уход за ротовой полостью становится затруднительным. Зубная щетка просто не подберется к некоторым участкам. Это приводит к скоплению налета и образованию камня, которые играют большую роль в развитии кариеса, пародонтита, периостита. В таком случае лечение скученности зубов без удаления вряд ли возможно.
Лечение
Исправление аномалии современные ортодонты и стоматологи проводят успешно. В зависимости от масштабов патологии, они назначают ту или иную процедуру.
Лечение скученности нижних зубов в легкой форме может занять несколько месяцев. В таком случае применяются брекеты или капы. Период их ношения определяется из расчета возраста пациента, наличия у него других заболеваний, состояния пародонта. Возможно, что исправлению подлежит только скученность нижних зубов, но, например, при серьезной аномалии нижних резцов лечение затрагивает и верхнюю челюсть. Исправить скученность зубов без удаления можно путем сепарации или установки брекетов (иногда врач назначает удаление и при закреплении брекетов).
Есть четыре основных способа лечения аномалии.
- Расширение зубного ряда. Эту процедуру назначают только после подробного изучения состояния пародонта. Врач определяет наличие нужного количества костных тканей. Проводится расширение разными способами. Самый распространенный заключается в установке брекетов, когда у пациентов отсутствуют третьи моляры, а первые и вторые имеют сильный наклон. У такой процедуры есть сторонники и противники. В некоторых случаях после ношения брекетов патология появляется вновь. Возможно, придется ставить брекеты с удалением четверок (первых премоляров). Это вынужденная мера, так как эти премоляры помешают остальным зубам расположиться в челюстном ряду ровно и красиво. Удаление зубов по ортодонтическим показателям проводится в исключительных случаях. Часто этого можно избежать.
- При желании пациент может отказаться от брекетов и попросить провести реставрацию винирами или коронками. Чаще используют прямые виниры при скученности, которые позволяют обрабатывать челюсть минимально. Такой способ лечения доступен только при слабо выраженной скученности.
- Сепарация зубов. Проводится методом обточки эмали (механическая сепарация) или размещением временных распорок в зазорах (физиологическая сепарация). Шлифовка позволяет освободить до 6 миллиметров пространства между зубами. Сегодня этот метод рассматривают как альтернативу удалению. Недавно считалось, что последствия сепарации зубов достаточно серьезные, так как операция усиливает чувствительность, но последние данные этого не подтвердили.
- Ортодонтическое лечение с удалением зубов. Удаление назначают только в крайних случаях для освобождения места в челюстном ряду. Устранению обычно подлежат первые и вторые премоляры или третьи моляры.
Профилактика
Профилактика заболевания предусматривает отказ от вредных привычек. Многие дети сосут палец или грызут ручку. Считается, что это также служит причиной развития аномалии.
В детском возрасте в период развития временного или постоянного прикуса также очень важно отсутствие заболеваний носоглотки. Если у ребенка постоянный насморк, он учится дышать ртом, что мешает челюстной системе развиться правильно.
Чтобы избежать аномалии нужно регулярно посещать стоматолога и лечить заболевания ротовой полости. Ни в коем случае нельзя самостоятельно удалять молочные зубы. Это должен делать только врач.
