Заболевания дёсен протекают похожим образом как у детей, так и у взрослых. Лечение заболеваний десен может проходить как медикаментозно, так и оперативным способом, в зависимости от запущенности стадии недуга. Активно применяются и народные средства лечения десен и зубов, однако не стоит переоценивать их свойства: они полезны только на стадии профилактики или в случаях, когда нужно уменьшить боль или снять воспаление на время, перед запланированным походом к врачу. Чтобы справиться с болезнями десен, важно знать сами заболевания десен и их лечение.
Гингивит
Гингивит является наиболее «лёгким» заболеванием края пародонта, вызванное накапливание зубного налёта и мельчайших остатков пищи в труднодоступных полостях зубов. К этому обычно приводит неправильная гигиена полости рта. Страдает от гингивита дентин, ткани пародонта и десневой сосочек.
Внешне гингивит проявляется как разрастание десен, их припухлость, нездоровый красный или синюшный цвет. Также наблюдается кровоточивость десен, плохой запах изо рта, а чистка зубов проходит болезненно.
Виды гингивита подразделяются на:
- Катаральное воспаление. Замкнутый круг проблем выглядит так: эта форма гингивита возникает от недостаточной гигиены, но только интенсивная поддержка гигиены поможет с ней справиться. Но проблема в том, что воспаление десен делает гигиенические процедуры практически невозможными ввиду сильных болей. Поэтому надо пересилить себя: провести тщательную чистку зубов (можно у врача), полоскать полость рта различными антимикробными и противовоспалительными растворами в течение пары дней.
Дополнительные методы: гидромассаж десен, отвар для полоскания десен из ромашки, подорожника, зверобоя, календулы.
- Гиперплазия десен (гипертрофический гингивит). Это уже осложнение хронического гингивита. Иногда причиной служат беременность, заболевания эндокринной системы, нарушение гормонального баланса в организме. Также гиперплазию десен может повлечь глубокий травмирующий прикус, приём некоторых лекарственных средств. При лечении гиперплазии тоже борются с зубным налётом и камнем, оказывают влияние хирургически, медикаментозно или посредством лазерного излучения.
- Язвенно-некротическая стадия может являться осложнением двух предыдущих стадий, а может и возникнуть обособленно, без предпосылок.
Среди причин возникновения выделяют упадок сил, понижение иммунитета, вирусных болезнях, прогрессирующем дисбактериозе. Язвенное поражение десен – работа вредных микроорганизмов, отложившихся в зубодесневом промежутке, ввиду отсутствия гигиены. Поддерживать гигиену на этом этапе невозможно в силу болезненности восприятия процедур.
Поэтому лечение гингивита потребует нескольких этапов. Для начала врач удаляет мертвые пародонтальные ткани с помощью анестезии и лекарств с содержанием ферментов, после чего осуществляется общее и местное воздействие на ткани антимикробными средствами. Когда стадия острого воспаления минует, проводится чистка зубов и комплексное воздействие на ткани антисептическими, противомикробными, противоотечными и восстанавливающими препаратами.
Пародонтит
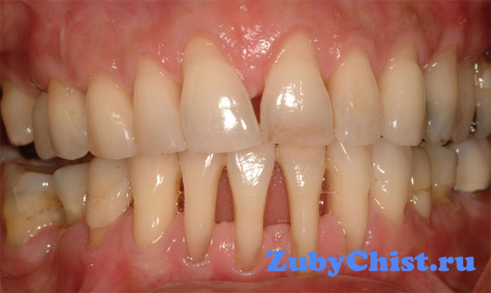
Пародонтит – заболевание десен, вследствие которого образуется зубная бляшка и ослабляются силы, удерживающие корень зуба в десне. Появляется, если не вылечить вовремя гингивит (но может возникнуть и самостоятельно). Повреждается не только край десны, а все ткани вокруг зуба. Волокна пародонтальных тканей, удерживающие вместе зуб и костную ткань, разрушаются под действием вредных микроорганизмов, собирающихся в парадонтальном кармане. Такие карманы образуются из-за ослабевания «хватки» десны. В них также содержатся кровяные сгустки, гной, зубной камень. Корни зуба будто «обнажаются» и зубы кажутся длиннее.
Пародонтит может быть локализованным (поражение одной области с несколькими зубами) и генерализованным (поражать все зубы).
- Лёгкая (карман достигает до 4 мм). Зубы неподвижны, наблюдается отек и покраснение десен. Боли не наблюдаются, поэтому поначалу так сложно продиагностировать болезнь.
- Средняя (карман до 6 мм). Зубы шатаются в двух направлениях, возникает боль при чистке и полоскании зубов, неприятный запах полости рта.
- Тяжёлая (глубина кармана от 6 мм). Зубы шатаются во все стороны, образуются сильные промежутки между ними. Дёсны алые, кровоточат, распухают и болезненно реагируют на прикосновения. Рецессия десны может привести к потере зубов.
- Зубной камень;
- Неправильно сформированный прикус;
- Бруксизм (сжатие челюстей во сне или просто от нервов);
- Травматическое смыкание челюстей;
- Неправильно установленные протезы и пломбы;
- Заболевания почек, желудка, лейкемия, сахарный диабет, авитаминоз;
- Приём глюкокортикоидов;
- Наследственный фактор.
Лечение пародонтита
Отложения в «карманах» между зубами и деснами не поддаются профессиональной чистке, и происходит постепенное насыщение токсинами воспалённой области. Так воспаление доходит до корня зуба. Лечения десен в стоматологии включают себя хирургические методы (например, резекция), механические (кюретаж), лазерные. А также ортопедические (шинирование зубов, протезирование), физиотерапевтические (гидромассаж и вакуум-массаж с помощью высокотехнологичных массажеров) и ультразвуковые.
Говоря об ультразвуковых методах лечения пародонтита, нельзя не упомянуть лечение заболеваний десен аппаратом «Вектор». Устройство немецкого производства работает на ультразвуковой технологии с высокой частотой вибраций. Проникая даже в самые сложные участки десны, аппарат уничтожает бляшки, вредоносные бактерии, очищает от зубного камня и эндотоксинов. Высокая мощность устройства позволяет проникать в карманы любой глубины: от 4 до 12 мм.
Преимущества аппарата «Vector»:
- Быстрое заживление десен после проведения процедуры очищения;
- Гибкость инструментов, позволяющая проникнуть в углубления любой сложности;
- Безболезненность процедур (следовательно, нет необходимости в анестезии);
- Полное удаление загрязнений и воспаляющих элементов;
- Полировка зубов.
В системе общего лечения применяются такие препараты, как диклофенак, антимикробные (метронидазол), поливитамины и антибиотики (линкомицин). Назначить эти препараты должен только лечащий врач.
Пародонтоз
При пародонтозе десны выглядят здоровыми: их цвет светло-розовый, не наблюдается припухлостей или отслаиваний. Но постепенно десна идёт «на убыль», уменьшаясь в размерах и обнажая зубные корни. Пародонтоз можно встретить очень редко, в основном у пожилых людей (ввиду склерозирования сосудов с возрастом и ухудшения циркуляции крови в области десны). Нехватка питательных веществ и приводит к атрофии пародонтальных тканей.
Лечение десен в стоматологии требует комплексного подхода и совершенно не терпит самолечения. Этапы лечения:
- Консультация у врача-пародонтолога (который специализируется на проблемах с деснами). Он назначит правильное лечение (иногда оно включает нимесил для лечения воспаления десен), проведёт рентген-обследование, выявит наличие и глубину пародонтальных карманов и сделает прогноз на основе полученной информации по каждому из зубов. Так будет назначено и дальнейшее лечение.
- Чистка. Чтобы симптомы прекратились и лечение прошло удачно, нужно первоначально удалить причину недуга – наддесневой и поддесневой налёт, зубные отложения.
- Оперативные вмешательства, как консервативные, так и оперативные. Иногда назначаются мази, чтобы обеспечить лечение отека десны.
Альтернативное лечение
При лечении используются народные средства, но стоит помнить, что лечение десен народными средствами не принесет особой пользы: народное лечение десен призвано лишь смягчить первичные симптомы на начальной стадии, но не устранит главную причину.
Эфирные масла для зубов и десен не используются для применения внутрь!
Их сильная сторона в их анестетических, антибактериальных и успокаивающих свойствах.
Например, если ежедневно втирать масло черного тмина, для десен не будет лучше ухода: уйдут кровоточивость и боль в тканях. Облепиховое масло при воспалении десен также оказывает нужный эффект: его можно втирать в десны, проводить ротовые ванночки, делать компрессы из марли с ним и аппликации.
Полоскание от кровоточивости десен также даёт свои плоды. Например, соль для лечения десен остаётся классическим методом «просто добавь воды»: размешиваем в стакане тёплой воды чайную ложку пищевой соды и полоскаемрот трижды в сутки. Соль для десен адсорбирует все вредные элементы.
Заживляющим, стягивающим эффектом обладает и лечение десен корой дуба: столовую ложку измельчённой коры насыпать в эмалированную посудину, залить двумя стаканами холодной воды и довести до кипения на плите. После того, как закипит, убавить огонь, затем накрыть посуду и пусть покипит на медленном огне около 4 минут. Затем следует дождаться остывания и полоскать рот 3-4 раза в сутки после приёма пищи или чистки зубов.
Корень аира для десен не обделен целительными свойствами, особенно в сочетании с ягодами брусники. Рецепт, как приготовить отвар для десен: столовую ложку измельчённого болотного аира смешать со столовой ложкой плодов брусники и залить двумя стаканами кипятка. Укутав полотенцем, подождать остывания до тёплого состояния. Полоскать рот рекомендуется столько же, сколько и корой дуба.
Также полезно для десен, если чистить зубы электрической зубной щёткой, в которую встроен автоматический массажер для десен. Главное – не допускать самолечения, и доверять лечение десен зубов только квалифицированному специалисту.




