Шинирование зубов представляет собой метод с применением съемных либо несъемных шин, который направлен на снижение их подвижности. После проведения данной процедуры укрепляются неустойчивые резцы с костной тканью с целью предупреждения их дальнейшего выпадения, вот почему отзывы о шинировании зубов в большинстве случаев положительные. Также мероприятие может спасти от расшатывания и дальнейшей имплантации, уберечь от прогрессирования пародонтита и воспалительно-инфекционных процессов тканей пародонта.
Не секрет, что такое заболевание, как пародонтит приводит к атрофии челюстных костей, при этом шейки резцов начинают оголяться. В результате из десны начинает просачиваться гной, происходит смещение передних зубов, а ряд искривляется и деформируется. Шинирование спасает резцы пациента от выпадения. Метод подразумевает крепление шины с внутренней стороны зубов в бороздках с использованием местной анестезии, а сверху фиксируется пломбировочный материал. Вследствие этого резцы объединяются в блок, а их подвижность становится ограниченной. При этом нагрузка при жевании распределяется равномерно по всей челюсти.
В некоторых случая может понадобиться шинирование челюсти. Обычно такая потребность появляется в случае вывиха или перелома челюсти, когда очень важно провести иммобилизацию костей для обеспечения их срастания. В данном случае вопрос о том, стоит ли делать шинирование зубов не возникает, так как от проведения процедуры зависит здоровье и жизнь пациента.
Важно! Больным, на челюсти которых есть шины, категорически запрещается употреблять спиртные напитки. Также стоит учесть тот факт, что при появлении рвоты, рот не получится открыть широко. А чистить зубы при переломе челюсти нужно очень аккуратно.
Случаи шинирования зубов
Метод широко применяется при:
- маргинальном периодонтите (воспалительный процесс костных тканей резцов);
- хроническом пародонтозе;
- механической травме;
- появлении карманов в десне и сильном обнажении корней;
- смещении прикуса или его деформации;
- увеличении подвижности резцов;
- заболеваниях тканей в полости рта и появлении кровоточивости десен;
- неправильном расположении одного из резцов, вследствие чего нагрузка во время жевания распределяется неравномерно;
- наличии камней и отложений;
- после исправления прикуса при помощи брекет-систем.
Давайте рассмотрим, как решается проблема для самых распространенных случаев, более детально.
Шинирование зубов при пародонтозе
При наличии у пациента такого заболевания, как пародонтоз, происходит атрофия костной ткани. В данной патологии шинирование способно предотвратить дальнейшее выпадение резцов. При этом стоматолог нацелен на то, чтобы сохранить их живыми. Процедура не подразумевает обточку резца под форму коронки. В результате подвижные зубы становятся устойчивыми и защищены от последующей горизонтальной нагрузки, ведь давление при жевании распределяется равномерно. Таким способом можно добиться также выравнивания прикуса по правильной линии и замаскировать мелкие дефекты в зубном ряду.
Шинирование подвижных зубов
Шинирование зубов при заболеваниях пародонта лечит подвижные резцы. Методы постоянно совершенствуются, а кроме прочности конструкции врачи добиваются и эстетичности в используемых материалах. Во время проведения процедуры полость рта обрабатывается максимально деликатно. Также стоматолог уделяет большое внимание совместимости шинных материалов с тканями и гигиене ротовой полости.
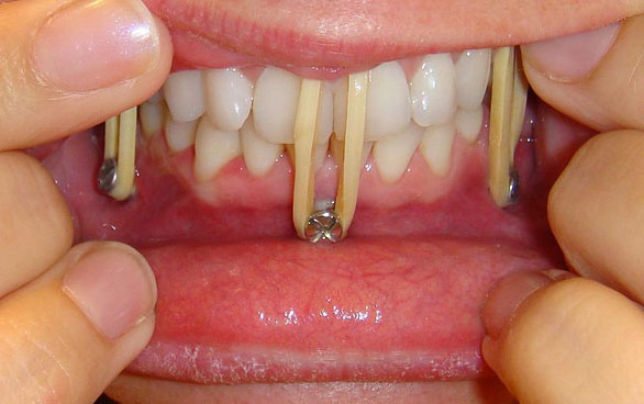
Шинирование при переломе нижней челюсти
Шинирование нижних зубов после перелома челюсти проводится незамедлительно. После травмы можно наблюдать изменение положения костей или их отломков. Вот почему первоочередной задачей в данном случае стоит сопоставление тканей резцов и их фиксация между собой. Далее следует этап срастания отломков друг с другом, для этого и проводится шинирование.
Шинирование при переломе челюсти включает в себя несколько этапов. Мероприятия осуществляются в последовательности:
- Крепление фиксатора (специальная медная проволока для шинирования зубов).
- Соединение с поврежденной тканью.
- Наложение шины Тигерштедта из петель и тяг.
Безусловно, вертикальный перелом зуба у всех пациентов происходит по-разному и во время шинирования стоматолог рассматривает каждый конкретный случай отдельно, ведь прикус каждого человека неповторим. Сами шины на зубы крепятся с помощью проволочных лигатур. Шинирование зубов при переломе нижней челюсти проводится с использованием местного обезболивающего укола. Для быстрого срастания стоит следовать всей рекомендациям лечащего врача, а также не снимать шины минимум полтора месяца.
Важно! В случае, когда перелом имеет сложный характер, а больной в критическом состоянии, перед мероприятием вкалывают инъекции с антибиотиками. Это позволит избежать заражения мягких и костных тканей.
Шинирование после ношения брекет-систем
Проведение мероприятия по наложению шин после снятия брекетов позволит закрепить результат ортодонтического лечения и предотвратить повторное появления аномалий прикуса. Так как современные шины не нарушают эстетический вид улыбки, последним этапом исправления прикуса пренебрегать не стоит, ведь именно от него во многом зависит хороший результат. Перед началом подготовительных работ врач в обязательном порядке должен провести санацию полости рта (залечить кариес и депульпировать резцы, которым это необходимо).
Сами шины после снятия брекет-систем закрепляют на обе челюсти. То есть проводится обязательное шинирование верхних зубов и шинирование зубов нижней челюсти. Фиксирующая лента предназначена, как правило, для фронтальных резцов, ведь именно они видны при разговорах и улыбке. Шинирование с целью закрепления результата после исправления прикуса брекетами носит временный характер. После того, как формируется новая костная ткань, их снимают, и лишь в случаях повышенной подвижности резцов конструкцию придется носить пожизненно.
Способы шинирования
Как только вы обнаружили первые признаки пародонтита, стоит незамедлительно обратиться в стоматологическую клинику. Это поможет предотвратить дальнейшее выпадение зубов. Существуют различные виды шинирования зубов. Какой способ фиксации подвижных резцов и укрепления десен использовать в каждом конкретном случае определит врач в зависимости от состояния челюстной системы.
Типы шин:
- Съемные шины. Устанавливаются в случаях отсутствия одного из резцов.
- Несъемные шины. Используются во всех остальных случаях, в том числе для лечения перегрузки пародонта.
Среди современных материалов для шинирования выделяют:
- протезы;
- коронки;
- стекловолокно;
- арамидную нить.
Также шинирование может носить постоянный и временный характер. Временное наложение шин подразумевает установку фиксирующего материала на короткий срок (от нескольких недель до нескольких месяцев).
Шинирование зубов с помощью протезирования
Протезирование зубов при пародонтозе также получило широкое распространение. Однако во время подготовки к фиксации шин с использованием бюгельных протезов или коронок стоматолог должен депульпировать зубы. Затем производится обтачивание зубов, и надеваются металлокерамические либо цельнокерамические коронки, соединенные между собой. В сравнении с остальными данный способ надежен, но достаточно дорогой.
Бюгельные протезы представляют собой тонкую дугу, которая обхватывает каждый зуб отдельно. За счет установки такой конструкции нагрузка снимается с зубов и перемещается на железную пластину, что в значительной степени уменьшает их дальнейшую подвижность.
Шинирование зубов стекловолокном
Шинирование зубов стекловолоконной лентой, пожалуй, самый распространенный и надежный способ по приемлемой цене. Зубная шина из стекловолокна схожа с оттенком зубов и практически незаметна. Стекловолоконная нить изготавливается перед приемом пациента. Перед процедурой вводится местное обезболивающее средство. Далее с внутренней стороны каждого резца врач делает небольшие углубления и прокладывает прочную нить. После того, как цельная шина находится в углублениях, следует адгезивное шинирование зубов, то есть заполнение бороздок композитным материалом.
Стоит отметить, что нить должна захватывать не только неустойчивые резцы, но и опорные клыки. Именно на них стоматолог планирует распределить значительную часть жевательной нагрузки. По завершении процедуры резцы крепко соединяются между собой и становятся неподвижными. При этом шинирование зубов стекловолокном распределяет нагрузку на всю конструкцию, соединенную нитью, даже если в откусывании участвует лишь один из резцов.
Вантовое шинирование
Данный тип шинирования подразумевает использование арамидного волокна и применяется в тяжелых случаях пародонтита, где необходимо срочно устранить подвижность зубного ряда. Арамид представляет собой синтетический материал с повышенной износостойкостью, обладает свойствами прочности и долговечности, не стирается и не травмирует эмаль. Также арамидное волокно не окисляется во рту и может быть показано пациентам с повышенной чувствительностью к инородным элементам.
Лента горизонтально крепится в проделанные выемки нестабильных резцов, а бороздки заполняются светоотражающей пломбой, которая соответствует цвету зубов пациента. Этот метод способен обеспечить надежную сохранность подвижных зубов даже при хроническом пародонтите. В связи с тем, что нагрузка распределяется равномерно, лента из арамида предупреждает быстрое разрушение костных тканей.
Однако есть ряд отрицательных моментов, ведь при креплении арамидной шины зубному врачу придется депульпировать и обточить расшатанные резцы. Вследствие этого ткани зубов атрофируются, поэтому перед шинированием очень важно, чтобы врач взвесил риски от последствий мероприятия.
Уход за полостью рта
После проведения процедуры шинирования пациенту необходимо внимательно следить за гигиеной зубов, десен и полости рта. В связи с тем, что очистка труднодоступных мест обычной щеткой становится невозможна, необходимо запастись ершиками и ирригатором, которые способны справиться с чисткой межзубных пространств. Также стоит исключить из рациона продукты питания, которые увеличивают размножение бактерий во рту. К ним относятся газированные напитки, жирное и сладкое. Запрещается грызть твердые продукты (орехи, яблоки и другие) и заниматься экстремальными видами спорта. После каждого приема пищи рекомендуется тщательно полоскать рот водой, а периодически и стоматологическими ополаскивателями. Также в привычку стоит включить ежедневное использование зубной нити.
Положительные стороны шинирования
Напоследок стоит отметить, что шинирование подвижных зубов имеет ряд преимуществ. Среди них:
- распределение нагрузки на зубы;
- успешное лечение заболевания пародонтит;
- защита от потери зубов.
Многих пациентов перед приемом интересует вопрос, а больно ли шинировать зубы, и можно отметить, что процедура безболезненна. Терапевтическая подготовка зубов к шинированию минимальна, стоит всего лишь провести санацию полости рта. Средняя цена на шинирование зубов при заболеваниях пародонта равна полутора тысячам рублей за один зуб и доступна любому пациенту. Также можно быть уверенными, что наличие шин на зубах не препятствует проведению других стоматологических процедур. После шинирования не нарушается жевательный процесс, а внешний вид пациента с эстетической точки зрения останется прежним.
Современные типы шин, которые применяются в стоматологии, никак не влияют на выполнение процедур по гигиене полости рта и не травмируют ткани. А санация полости рта и детальное изучение состояния корней пациента перед проведением данной операции способны сохранить зубы здоровыми на длительный период.









