Эффективным способом для коррекции прикуса является брекет – система. Механизм обеспечивает постепенное перемещение зубов в требуемом направлении за счет металлической дуги. Однако сложный уход, дискомфорт, возникающий при перегрузке брекетов, снижает уровень комфорта при исправлении неровностей зубного ряда. Достижением современной ортодонтической стоматологии стали самолигирующие брекеты.

Самолигирующие брекеты
Что такое самолигирующие брекеты
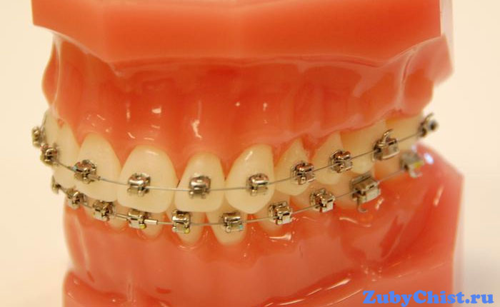
Особенностью аппарата называют наличие скользящих фиксаторов, которые дают возможность менять дуги и мягко воздействовать на зубы. В классических устройствах применяются лигатуры, фиксирующие дугу, не позволяя ей самостоятельно перемещаться. Для выравнивания зубам требуется преодолеть не только мышечное сопротивление челюсти, но и силу трения, создающую резинками.
Самолигирующие безлигатурные брекеты сконструированы таким образом, что они не нуждаются в эластичных лигатурах. Им на смену пришли клипсы – замочки, благодаря которым значительно быстрее происходит смена дуги и коррекция всей системы.
При этом устраняется сила трения, поэтому правка прикуса происходит только с помощью физиологических сил. Такой подход уменьшает курс лечения до 1,5 года и сокращает количество посещений стоматолога для замены лигатур.
Во время установки эстетических изделий используется проволочные дуги, выполненные из никельтитанового, татиномолибденового сплава или из стали и покрытые тефлоновым покрытием белого цвета. Эластики для брекетов со временем меняют цвет, особенно у тех пациентов, которые предпочитают крепкий кофе или чай.
Каждый этап лечения проводится на проволоках различного сечения. На начальных стадиях пользуются тонкими проволоками, на поздних – с квадратным или толстым профилем.
Преимущества
Какие же основные достоинства этого устройства и почему пациенты все чаще выбирают самолигирующие безлигатурные брекеты?
- Несомненным преимуществом является минимальная травматичность во время процесса коррекции.
- Благодаря применению слабых физиологических сил, исключению силы трения и физических перегрузок происходит быстрая адаптация тканей пародонта и слизистой к передвижению зубов, а также сокращение сроков лечения на 25%.
- Эстетичный вид устройства понижает уровень дискомфорта.
- Исчезает потребность удалять постоянные зубы, которые мешают корректировке всего ряда.
- Отсутствие крючков упрощает уход.
- Саморегулирующие брекеты допускается использовать при заболеваниях пародонта.
- Не требуют частых посещений ортодонта.
- Процесс установки и снятия конструкции занимает 15 минут
Разнообразие моделей позволяет выбрать ту конструкцию, которая подойдет для определенного случая.
Самолигирующиеся брекет системы имеют один недостаток – высокую стоимость по сравнению с другими ортодонтическими приспособлениями. Это объясняется сложной конструкцией механизма.

Брекеты на зубах
Виды
Стоматологи устанавливают самолигирующие эстетические брекеты следующих видов:
- металлические;
- керамические;
- частично керамические.
Кроме того, они подразделяются на лингвальные и вестибулярные. Невидимые (лингвальные) ортодонтические модели крепят на заднюю часть зубов. Установка конструкций снижает психологический дискомфорт у пациентов, что положительно сказывается на всем процессе лечения.
Наиболее популярными считаются самолигирующие металлические брекеты. Несмотря на то, что они менее эстетичны, при этом обладают повешенной прочностью. Ортодонты выделяют несколько систем из металла:
- Damon 3MX – устройство с тонкими пластинами без острых углов, поэтому адаптация проходит быстро и безболезненно;
- Damon Q – предназначена для сложных случаев. Усовершенствованная конструкция позволяет подобрать персональный угол наклон каждого элемента;
- Smart Clip – специально разработанный механизм защелкивания, специально сконструированный для этого устройства, контролирует и преобразовывает силу дуги в случае необходимости;
- In-ovation R – небольшая величина устройства допускает установку дуг разного размера. Специальная защелка регулирует силу ортодонтической скобы, ускоряя терапевтический эффект.
Пациентам, страдающим аллергическими проявлениями, изготавливают индивидуальные брекеты из гипоаллергенного сплава.
Керамические несъемные аппараты бесцветны и характеризуются повышенной прочностью. Необходимо помнить, что безлигатурные устройства несколько заметнее, чем традиционные керамические. В медицинской практике применяются следующие виды конструкций:
- Clarity SL – при изготовлении пластин применялись материалы с оксидом алюминия. Благодаря этому пластины относительно прозрачны, но высокой прочности;
- In-Ovation C – в системе сочетаются положительные свойства керамических и самолигирующих изделий. За основу принята армированная керамика с оксидокремниевым напылением;
- Damon 3 (ORMCO – конструкция выполнена отчасти из керамики, что выглядит натурально в ротовой полости;
- Damon Clear (ORMCO) – самые незаметные из всех моделей. Изготовлены из сапфира, выращенного искусственным путем, не окрашиваются, долговечны.
Особенно выделяются лингвальные брекеты Incognito, которые крепятся на тыльную сторону зубов, что делает их абсолютно невидимыми для постороннего взгляда. Изготавливают только в индивидуальном порядке по компьютерному моделированию и слепку зубов из золотосодержащего сплава, который не вызывает аллергии.
Каждый элемент индивидуален и смоделирован под конкретный зуб.
Длительность выравнивания зависит от аномалии зубного ряда и индивидуальных особенностей. Опытный ортодонт сообщает пациенту срок ношения брекетов, но в процессе могут открыться новые факты, которые ускорят или, наоборот, повлекут удлинение лечения.
Для чистки используются гигиенические пасты и щетки. Благодаря тому, что резиночки для брекетов отсутствуют, уход за системой не требует специальных процедур.
