Чтобы стать обладателем красивой улыбки и ровных зубов, необязательно соглашаться на неэстетичные металлические скобы. Эстетическая стоматология предлагает новый способ исправить прикус – прозрачные брекеты. Конструкция малозаметна, что позволяет пациенту чувствовать себя комфортно.

Прозрачные брекеты
Особенности и виды
Исправление неправильного прикуса занимает много времени – в среднем 1-2 года. Чтобы пациент не чувствовал дискомфорта или неловкости, стоматологи рекомендуют использовать малозаметные модели. С ними лечение зубов происходит комфортно для пациента.
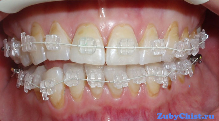
Прозрачная брекет система представляет собой специальные замки, устанавливаемые на заднюю и переднюю поверхность зубного ряда. Для фиксации используются специальные материалы. Такая брекет система не видна окружающим, и это главное преимущество.
Прозрачные брекеты изготавливаются на основе нескольких видов материалов, от которых зависит внешний вид, долговечность и стоимость.
Виды:
- Прозрачные сапфировые брекеты. Малозаметная система, изготавливаемая из искусственных материалов. Пользуется спросом среди молодых людей. Как правило, выпускаются брекеты с белой дугой.
- Прозрачные керамические брекеты. Эта модель производится из поликристаллической керамики, цвет которой подбирается в зависимости от естественного цвета зубной эмали.
- Пластиковые брекеты. Изготавливается из пластика. При продолжительном и сложном лечении поддается деформации. В связи с недолговечностью в теперешнее время не применяется.
Существуют модели для выравнивания нижних и верхних зубов. Чаще всего применяется изделия для выравнивания верхних зубов. Искривление нижних зубов встречается чаще. Брекеты на нижнюю челюсть устанавливают из недорогих материалов, потому что нижние зубы практически не видны окружающим.
Преимущества и недостатки
Чтобы принять взвешенное решение при выборе системы для исправления прикуса, рассмотрим преимущества и недостатки прозрачных систем. Главное преимущество – незаметность и эстетичность. Выглядят прозрачные брекеты стильно, поэтому только украсят улыбку человека.
Среди преимуществ также отмечается комфорт при носке. Металлические брекеты натирают и вызывают другие неудобства полости рта. Керамические модели меньше раздражают чувствительную полость рта, поэтому использование не вызывает у пациента дискомфорт.
При выборе метода лечения учитываются и недостатки изделий. В первую очередь это хрупкость. Керамические модели при выравнивании зубов часто ломаются, а пластиковые – недолговечны и склонны к потемнению. При поломке требуется замена, что увеличивает цену и продолжительность исправления прикуса.
Они не подойдут пациентам с желтоватой эмалью. Сапфировые модели смотрятся на таких зубах неестественно. Существуют продукты, которые не стоит есть, когда носишь брекеты. Речь идет о продуктах, окрашивающих керамику или пластик. Потемнение вызывает и курение. Поэтому в период выравнивания прикуса рекомендуется избегать чрезмерного употребления кофе, чая, красного вина, ягодных соков и других продуктов, которые окрашивают пластик или керамику.
Металлические изделия для выравнивания прикуса изготавливаются массово. Поэтому стоимость ниже, чем керамических. Поставить прозрачные брекеты стоит в полтора раза дороже металлических. Для некоторых пациентов этот недостаток является решающим при выборе изделия для выравнивания прикуса.

Желтоватая эмаль
Стоимость
Стоимость прозрачных брекетов в первую очередь зависит от материалов. В среднем цена на них составляет 50 тыс. рублей. В стоимость входит цена на само изделие, его установка, регулярное обслуживание и снятие. Металлические модели обойдутся в полтора-два раза дешевле.
Самые доступные – пластиковые. Полная стоимость лечения неправильного прикуса с помощью такой система составляет в среднем 25 тыс. рублей. Однако данный материал считается устаревшим, поэтому практически не используется в стоматологии.
Цена обслуживания не отличается. На стоимость лечения влияет только материал изделия.
Малозаметная керамика и эстетичный пластик
Отзывы о прозрачных брекетах не дают однозначного ответа, какой материал лучше. Чтобы принять взвешенное решение, рассмотрим преимущества пластиковых, керамических и сапфировых изделий.
Пластик – дешевый материал. Качество изделий из данного материала невысокое. При продолжительном и сложном лечении пластиковые модели окрашивают и раскалываются. Поэтому их предлагают только в государственных стоматологических поликлиниках.
Керамические скобы популярны по причине прочности, доступной стоимости и устойчивости к окрашиванию.
Сапфировые брекеты с белой дугой – изделия с молочным оттенком, малозаметны. На расстоянии нескольких метро их не видно окружающим. Главный недостаток – высокая цена.
Если вы не можете решить, какую систему использовать для лечения неправильного прикуса, обратитесь к ортодонту. Грамотный стоматолог оценит состояние зубов и расскажет, что целесообразнее использовать для лечения.
Каппы
В наше время стоматология предлагает альтернативу обязательного ношения некомфортных скоб для исправления прикуса. Стать обладателем восхитительной улыбки поможет каппа.
Преимущества:
- Для изготовления используются прозрачные материалы, поэтому малозаметны для окружающих.
- Ношение каппы помогает решить проблему неправильного прикуса.
- Выровнять зубы можно в сжатые сроки.
- Изготовление полного набора капп после первого осмотра.
Вне зависимости от выбора метода исправления неправильно прикуса, обратитесь к профессиональному стоматологу, который поможет вам в короткие сроки и безболезненно обрести обворожительную улыбку. Ортодонт расскажет о преимуществах изделий, стоимости и особенностях эксплуатации.
